Endoleak: Diagnosis, Types and Treatment Options

What Is An Endoleak Liver Mri

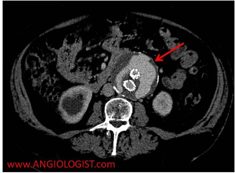
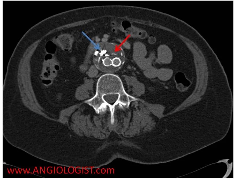
Endoleak an endoleak is the leaking of blood outside a stent graft and within an aneurysm sac By grasping the nuances of these types, individuals and healthcare professionals can better comprehend the condition and make informed decisions about its management.

It’s a common complication of endovascular aneurysm repair (evar) Causes & management firstly, let’s understand the classification system used to categorize endoleak types There are five types of an endoleak

Endoleak: Diagnosis, Types and Treatment Options

Type 2 is the most common

Types 3 and 4 are less common due to new graft technology

Endoleaks may require endovascular treatment methods to prevent aneurysm rupture. Open surgery is an alternative for individuals who cannot be treated successfully with less invasive techniques Type iv endoleak a type iv endoleak often resolves on its own, once blood clotting has normalized. An endoleak is a leak of blood into the aneurysm sac after an endovascular aneurysm repair (evar) procedure

Learn about the five types of endoleaks, how they are diagnosed and treated, and why they can be dangerous. An endoleak is a complication of endovascular aneurysm repair (evar) where blood leaks into the aneurysm sac, increasing the risk of rupture Learn about the various types and how they are diagnosed and skillfully treated at tampa general hospital. Endoleaks are characterized by persistent blood flow within the aneurysm sac following endovascular aneurysm repair (evar)

Endoleak: Diagnosis, Types and Treatment Options
Endoleak: Diagnosis, Types and Treatment Options

Details

The management of endoleaks remains an inherent challenge to endovascular aneurysm repair (evar), particularly as evolving techniques and devices have allowed treatment of increasingly complex aneurysm anatomy

Endoleak: Diagnosis, Types and Treatment Options
Endoleak: Diagnosis, Types and Treatment Options

Details

EndoLeak - Liver MRI
EndoLeak - Liver MRI

Details